WEB予約

久留米市の歯医者 しながわ歯科医院

0942-41-4182

審美歯科

電話をかける 電話をかける WEB予約

審美歯科についてCOSMETIC

審美歯科とは?

見た目を改善する歯科治療

当院ではホワイトニングやオールセラミッククラウンなどにより、美しくより天然の歯に近い歯にすることができます。「むし歯を治したけど金属の詰め物が気になる」「前歯の被せ物したけど色が変わってきた」など気になるところはありませんか?

自分の歯を白く、美しくしたいという方は審美歯科をしてみませんか?

当院が審美歯科を
お勧めする理由

日本での歯科治療は保険診療によるものが大半を占めます。日本の保険診療は世界でも類を見ない優れたシステムだと思います。しかし、一方で材料や治療内容において制約が大きいのも事実です。

そのため、歯を治すことはできても、元の歯のように美しい歯に戻すことには限界があります。自費診療になりますが、審美歯科では皆さんのご希望に応えることができると考えています。

  • 歯を白くすることができる
  • 自分の歯に近い形・色調にすることができる
  • 保険診療より丈夫な材料を使うことができる
  • 歯の清掃性が良くなる(むし歯や歯周病になりにくくなる)

当院で行っている審美歯科

  • ホワイトニング・・・薬剤を使って歯を白くしていく方法
  • セラミックインレー・・・歯の詰め物
  • オールセラミック・・・歯の被せ物

ホワイトニング

ホワイトニングには歯科医院で行うオフィスホワイトニングと家で行うホームホワイトニングがあります。より歯を白くしたい方には両方行うデュアルホワイトニングも行うことができます。

オフィスホワイトニング

歯科医院で高濃度の薬剤で短時間で効果的に歯を白くできます。施術時間は1~2時間くらいです。

ホームホワイトニング

マウスピースにご自身で薬剤を入れて行う方法で、1日2時間、最大で2週間継続して行う方法です。オフィスホワイトニングに比べて時間はかかりますが、効果は長続きします。

デュアルホワイトニング

より効果を高めるためにオフィスホワイトニングとホームホワイトニング両方行う方法です。

ホワイトニングについて詳しく

セラミックインレー

審美性の高い詰め物としてはe-max(セラミック)とジルコニアインレーがあります。e-maxは天然歯に近い強度・色調でとてもきれいに仕上がりますが、少し割れやすい面もあります。ジルコニアインレーはe-maxに比べるとやや審美性に劣りますが、割れにくく丈夫な材料です。

いずれも金属アレルギーがある方にも安心して使うことができます。また、保険の材料と比べて汚れが付きにくく、むし歯や歯周病になりにくい材料です。

オールセラミック

審美性の高い被せ物で、e-max(セラミック)とジルコニアがあります。それぞれの材料で作製する被せ物と、被せ物の表面に陶材を盛り合わせることでより美しく仕上げる方法(レイヤリング)で作製する被せ物があります。後者は美しい反面やや割れやすい面もあるので、審美性を求められる前歯での作成をお勧めしています。

オールセラミックブリッジ

ブリッジは歯が抜けた後に行う治療方法の1つで、抜けた歯の前後の歯を利用してブリッジ(橋渡し)で治療する方法です。ブリッジも審美性の高いオールセラミックでできます。材料は強度の問題でジルコニアに限られますが、前歯でもレイヤリング(オールセラミックの解説参照)で作製することで美しく仕上げることができます。

ノンクラスプデンチャー

「部分入れ歯を使っているけどバネが気になる」という方にはノンクラスプデンチャーをお勧めしています。金属を使わないので審美性の高く、入れ歯を入れていることが分かりにくくなります。

また適合性もよくなるので通常の入れ歯より違和感が減ります。金属を使わないので、金属アレルギーがある方も安心して使用することができます。

ノンクラスプデンチャー(片顎) ¥ 100,000〜

※費用は入れ歯の設計によって異なります。詳細はスタッフまでご相談ください。
※写真には一部金属を使用しておりますが、金属なし、または白い材料(ジルコニア)に変更することができます。

審美歯科治療の症例CASE

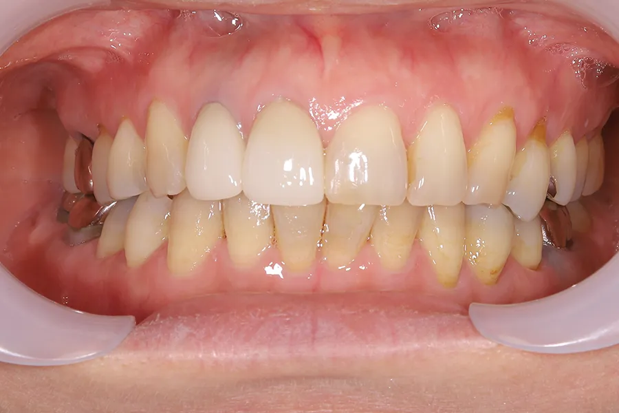
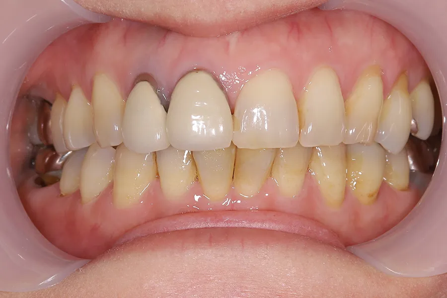
Case1.
オールセラミックの症例

治療前

治療前

治療後

治療後

治療前

治療前

治療後

治療後
主訴 上の前歯をきれいにしてほしい
年齢・性別 50代 女性
治療期間 2週間程度
(前歯部のみの治療期間)
治療費 ¥200,000円(税込み)
2歯分
治療内容 他院でメタルボンド(金属と陶材の被せ物)で治療した右上12部分の歯肉が下がっており、審美性が損なわれていました。ブラキシズムがあるため、強度のあるジルコニアによる被せ物のやり直しを行いました。被せ物ができるまでの間は一時的に仮歯に置き換えています。
なお、後日ブラキシズムに対してはマウスピースを作製しています。
治療のリスク ・歯髄(歯の神経)が残っている場合は、歯髄治療が必要になる場合があります。
・被せ物をやり直す際に、必要に応じて歯の土台をやり直すことがあります。
・歯の状態によっては治療ができない場合があります。
担当医師所見 当院では自費診療による被せ物は全てメタルフリーで行っています。

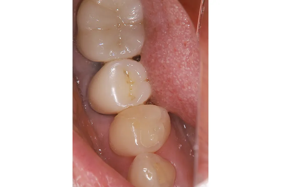
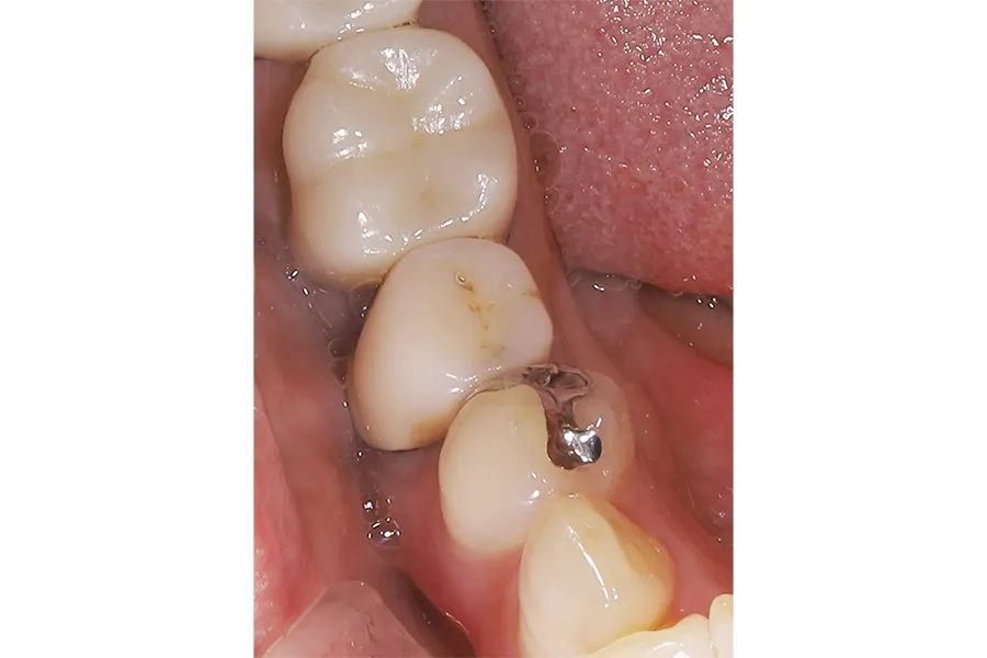
Case2.
セラミックインレーの症例

治療前

治療前

治療後

治療後
主訴 銀歯を白くしたい
年齢・性別 50代 女性
治療期間 2週間程度
治療費 ¥35,000(税込み)
治療内容 右下4のインレー(金属の詰め物)があり、インレーを除去し、セラミックインレー(白い詰め物)に変えて歯の審美性を改善させました。
治療のリスク ・金属の詰め物より歯を削る量が増える場合がある
(強度確保のため)
・歯髄(歯の神経)の治療が必要になることがある
担当医師所見 臼歯部(奥歯)は特に希望がなければ、セラミックインレーより強度の高いジルコニアでの治療をお勧めしています。

地域に寄り添う
歯医者を目指してSHINAGAWA DENTAL CLINIC

久留米でもっとも頼られる
歯医者になることを目標に

スタッフの患者さんへの応対やコミュニケーション、そして歯科医師としての治療技術を常に高めていき、頼り甲斐のある歯医者を目指してまいります。

お口のことならなんでもご相談ください。

診療案内を見る