WEB予約

久留米市の歯医者 しながわ歯科医院

0942-41-4182

ホワイト
ニング

電話をかける 電話をかける WEB予約

ホワイトニングについてWHITENING

ホワイトニングとは?

白く美しい歯へ

気を付けて歯磨きしていても時間とともに歯が変色してしまうことがあります。色が変わった歯をホワイトニングで元の美しい白い歯を取り戻してみませんか?
歯科医院で行うクリーニングは歯の表面の汚れを取り除いているのに対して、ホワイトニングは薬剤で歯の着色物質を分解することによって、歯そのものの色を白くしていく方法です。クリーニングだけでは満足できない方は、ぜひホワイトニングを試してみてください。

当院のホワイトニング治療

当院では歯科医院で行うオフィスホワイトニングと、家で行うホームホワイトニング、歯科医院と家の両方行うデュアルホワイトニングがあります。
自分に合ったやり方で白い歯を取り戻しましょう!!

ホワイトニング症例を見る

オフィスホワイトニング

オフィスホワイトニングは歯科医院で高濃度の薬液を塗布し、光を照射することで行うホワイトニングです。
1日でできるので短期間で効果的にホワイトニングをしたい方にお勧めです。

ホームホワイトニング

ホームホワイトニングは家で自分で行うホワイトニングです。ホワイトニング用のマウスピースを作製し、家でホワイトニング薬剤をマウスピースにつけて行います。1日2時間程マウスピースをつけていただきます。通常2週間程度行います。ホワイトニング効果が十分でない場合は延長して行う場合もあります。
効果出るまで少し時間はかかりますが、オフィスホワイトニングより時間をかけて少しずつ歯を漂白していくので自然な歯の白さを取り戻すことができ、ホワイトニング効果が長続きします。

デュアルホワイトニング

オフィスホワイトニングとホームホワイトニングを組み合わせたものです。
しっかりとホワイトニングをしたい方にお勧めです。

料金を見る

※ホワイトニングの注意事項

ホワイトニングの効果は患者さんによって個人差があります。
ホワイトニングの効果は永久に続くものではなく、再着色してくることがあります。詳細はご気軽にスタッフにお尋ねください。

なぜ歯は
黄色になってしまうのか?

歯の着色の原因は色々あります。生活習慣からの着色の原因としてはカレーやコーヒー、紅茶、赤ワインなどの色素の濃い飲食物や喫煙、加齢に伴う着色が挙げられます。このようなものはホワイトニングの効果は高いです。

一方で、薬剤性の着色や歯の形成不全、失活歯(歯の神経が死んでいる歯)などが原因の着色は、ホワイトニングは十分な効果が期待できない場合があります。このような場合は歯の被せ物などで対応していく方が効果的です。
どちらが効果的かは人それぞれですので、スタッフまでご相談ください。

ホワイトニングの
よくある質問
QUESTION

Q. ホワイトニングの効果は
どのくらい持続しますか?

A. 一般的にはオフィスホワイトニングは半年程度、ホームホワイトニングは1年程度と言われています。しかし、ホワイトニング後の生活習慣(食生活や喫煙、日頃のお口のケアの方法など)によって効果の持続期間は大きく変化します。

Q. ホワイトニングは
誰でもできますか?

A. ホワイトニングは未成年の方には行っておりません。また妊娠中・授乳中の方はできません。なお、詰め物や被せ物はホワイトニングしても効果がありませんので、被せ物のやり直しをおすすめします。

Q. 知覚過敏の症状はでますか?

A. ホワイトニングを行うと一時的に知覚過敏の症状がでることがあります。当院では皆様にホワイトニングの前に知覚過敏予防のために知覚過敏抑制剤材を使用するほか、知覚過敏の症状が出た場合は知覚過敏に対する処置を行っています。施術中・施術後に知覚過敏の症状が出た場合はスタッフまでご相談ください。

Q. ホワイトニングを行う上での
注意点はありますか?

A. ホワイトニング中は後戻りがしやすいので、着色しやすい飲食物(カレー、チョコレート、赤ワイン、紅茶、緑茶等)は控えましょう。また、喫煙も控えてください。喫煙は歯の着色や健康を損なう原因になりますので、これを機会に禁煙することをお勧めします。

ホワイトニングの費用PRICE

ホームホワイトニング

片顎 ¥15,000
上下顎 ¥28,000

オフィスホワイトニング

片顎 ¥15,000
上下顎 ¥28,000

デュアルホワイトニング

片顎 ¥25,000
上下顎 ¥45,000

ホワイトニングの症例CASE

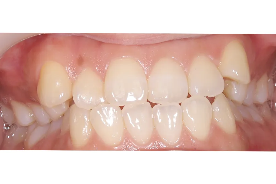
Case1.
オフィスホワイトニングの症例

治療前

治療前

治療後

治療後
主訴 歯の色を白くしたい
年齢・性別 60代 男性
治療期間 1か月半
(治療日数は2日)
治療費 ¥30,000
治療内容 オフィスホワイトニングを希望されたので、オフィスホワイトニングを行いました。
オフィスホワイトニングを行う前に歯を全体的にクリーニングし、知覚過敏の予防のための知覚過敏抑制剤を塗布します。
1度の施術では患者さんが納得できるほどの効果は得られなかったので、2回ホワイトニングを行いました。
治療のリスク ・歯の状態によってはホワイトニングの適応外になることがあります。
・ホワイトニングの効果は永続するものではありません。
・ホワイトニングの処置中、処置後に知覚過敏の症状が出ることがあります。
・ホワイトニング中は歯の着色(後戻り)の原因になりますので、喫煙、食事(赤ワイン、カレー等着色しやすい食べ物)は控えていただきます。

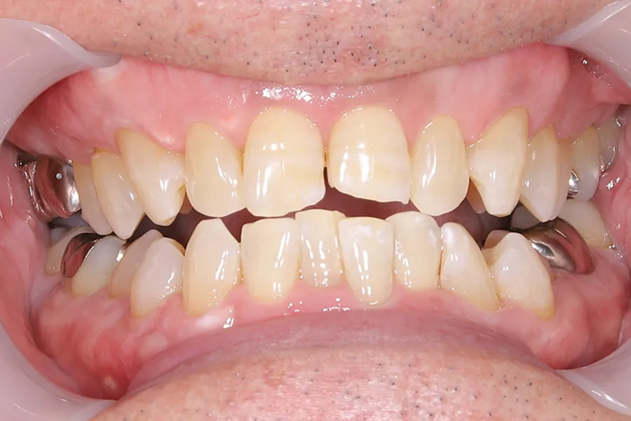
Case2.
ホームホワイトニングの症例

治療前

治療前

治療後

治療後
主訴 歯の色を白くしたい
年齢・性別 20代 女性
治療期間 約1か月
・ホームホワイトニング期間は2週間
・1日あたり約2時間マウスピース装着
治療費 ¥30,000
治療内容 ホームホワイトニングを希望されましたので、ホームホワイトニング用のマウスピースを作製し、自宅でホームホワイトニングを行っていただきました。ホワイトニング中の知覚過敏予防のため、知覚過敏の薬剤も使用していただきました。
治療のリスク ・自分でホワイトニングを行うので、薬剤がマウスピースからはみ出すと歯肉、粘膜に炎症等のトラブルを起こすことがあるます。
・ホワイトニングによる知覚過敏症状が出ることがあるます。
・赤ワインやカレーなどの着色しやすい飲食物の摂取、喫煙は後戻りの原因になります。

地域に寄り添う
歯医者を目指してSHINAGAWA DENTAL CLINIC

久留米でもっとも頼られる
歯医者になることを目標に

スタッフの患者さんへの応対やコミュニケーション、そして歯科医師としての治療技術を常に高めていき、頼り甲斐のある歯医者を目指してまいります。

お口のことならなんでもご相談ください。

診療案内を見る